 
                    Retinada diyabete bağlı yaygın ve şiddetli kanamalar
“Diyabet” ya da ülkemizde daha yaygın bilinen adıyla “şeker hastalığı” damarlarda hasar oluşumuna ve dokuların beslenmesinin bozulmasına neden olan bir hastalıktır. Özellikle şeker kontrolünün uzun süre sağlanamadığı diyabet hastalarında gözde birden çok sorun oluşmakla birlikte en yaygın görülen komplikasyon “diyabetik retinopati”dir. Hipertansiyon, kolesterol yüksekliği, kalp damar hastalıkları ve böbrek yetmezliği retinopati riskini artıran faktörlerdir.
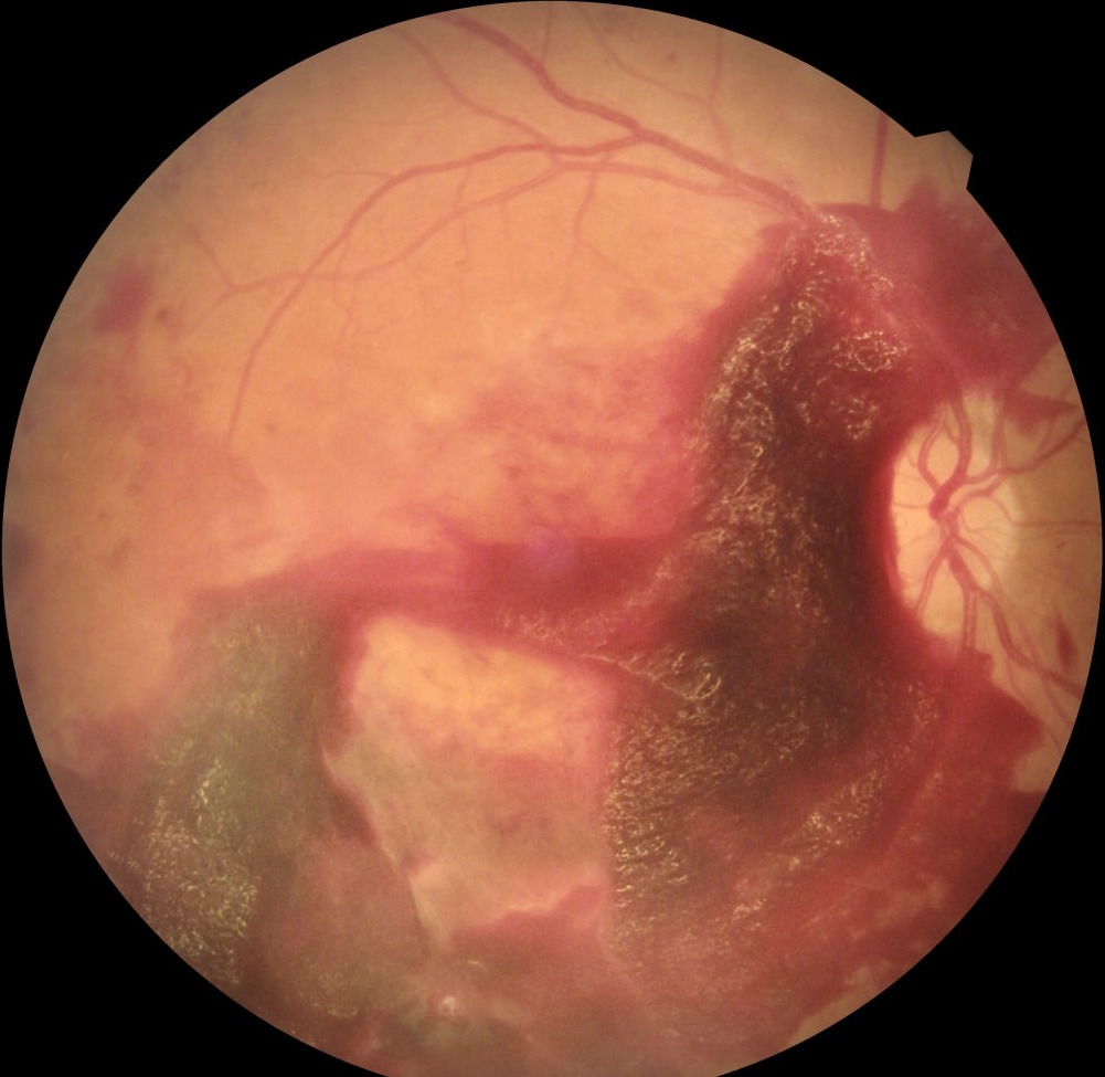
Diyabetik retinopati gözün en iç katmanını oluşturan ve görmeyi sağlayan “retina” tabakasında oluşan hasarı ifade eder. Retinayı besleyen damarlarda oluşan tıkanıklıklar, damar geçirgenliğinin artmasına, retinanın beslenmesinin bozulmasına ve görme kaybına neden olur. Diyabetik retinopatinin erken dönemlerinde sıklıkla görmede belirgin kayıp olmaksızın retina muayenesinde kolaylıkla tespit edilen kanama ve sızıntılar mevcuttur. İlerleyen dönemde retinanın beslenmesinin daha da bozulması sağlıksız yeni damarların oluşmasına ve bu damarlardan gözün içine tekrarlayan kanamalara neden olur. Daha ileri aşamalarda retinanın yapısı ve ışık hassasiyeti kalıcı olarak bozulur ve görme kaybı oluşur.
Diyabetik retinopatinin tanı ve takibinde görme keskinliğinin ölçülmesi ve göz bebeği genişletilerek yapılan retina muayenesi esastır. Retinada özellikle “sarı nokta” olarak bilinen makula bölgesinde oluşan ödemin varlığını ve şiddetini belirlemede “tomografi” önemli bir değerlendirme yöntemidir. Göz anjiyografisi olarak bilinen retina damarlarının görüntülenmesini sağlayan “flöresein anjiyografi” yöntemi de diyabetik retinopatinin tanısında, takip ve tedavinin belirlenmesinde önemlidir. 
Diyabetik retinopati tedavisi; diyabetin ve gözde oluşan hasarın tedavisinden oluşur ve tedavi edilemeyen bir diyabet hastasında başarılı bir retinopati tedavisi sağlamak mümkün olmayacaktır. Yüksek kan şekeri seviyesiyle diyabetik retinopati oluşması arasında güçlü bir ilişki olduğundan kan şekeri kontrolünün sağlanması ve bu kontrolün idamesi retinopati gelişmesini yavaşlatacaktır. Özellikle diyabetin ilk yıllarında çok yüksek kan şekeri değerlerine rağmen görmenin etkilenmemesi ne yazık ki yanıltıcı olmakta ve takip eden zaman içinde çok ciddi görme kaybıyla sonuçlanmaktadır. Diyabet teşhis edildikten sonra düzenli göz muayenesi, retinopatinin erken tespit edilerek tedavi edilmesine imkan sağlayacağı gibi, eğer diyabetin tedavisinde yetersizlik varsa çok geç kalınmadan düzenlenecektir. 
Diyabetik retinopati tedavisinde amaç; retina hasarının yavaşlatılması ve görmenin korunmasıdır. Bunun için sıklıkla uygulanan tedaviler oluşan hasarın durumuna göre değişen sıklıkta tekrarlanan göz içi enjeksiyonları ve retinaya lazer uygulamasıdır. Tekrarlayan çok şiddetli göz içi kanamalarında ve retinanın gelişen anormal damarlar nedeniyle büzüşerek ayrılması durumunda "retina dekolmanı" geliştiğinde “vitrektomi” ameliyatı ile kanama temizlenir ve retina tamiri yapılır. 
Designed with Mobirise - Get more